Este 14 de febrero, coincidiendo con el día de los enamorados, también prestamos atención al corazón, pero de nuestros bebés.
Uno de los principales objetivos de la conmemoración del Día Mundial de las Cardiopatías Congénitas es favorecer la detección precoz (en la etapa prenatal y neonatal) y el acceso a un tratamiento oportuno a través de la difusión de conocimiento sobre esta problemática.
Es importantísimo el control durante el embarazo ya que las cardiopatías se desarrollan y se pueden en etapas tempranas del embarazo.
Según datos del Ministerio De Salud de la Nación la cardiopatía congénita es la anomalía más común y la primera causa de muerte en el primer año de vida.

La cardiopatías congénitas son problemas con la estructura y el funcionamiento del corazón (alteraciones en las paredes; válvulas o combinaciones de esto o de los grandes vasos sanguíneos) que se puede encontrar en el feto y en el recién nacido.
Se forman en las primeras semanas de gestación, se las padece desde el nacimiento y nunca se desarrollan luego de este.
Estas enfermedades pueden requerir solución a muy temprana edad inclusive durante el embarazo mismo o en la edad adulta. Dicha solución pasa desde simplemente medicación, procedimientos llamados endovasculares donde no hace falta abrir el pecho o cirugía cardíaca.

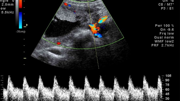
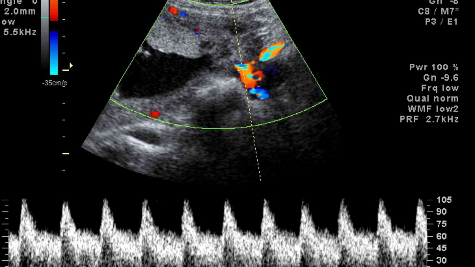
El diagnóstico exacto se hace a través del ecocardiograma (sumado al examen del médico y otros estudios como el electrocardiograma) y el tratamiento está a cargo del cardiólogo infantil.
En la mayoría de los casos la solución es favorable salvo casos complejos.
Ante la sospecha de estas enfermedades debe consultar a su pediatra y este guiará el estudio.
Se habla de 2 tipos de afecciones cardíacas congénitas:
Una condición cianótica hace que los labios, encías, uñas y la piel se tornen de color azul, a causa de la insuficiencia de oxígeno en la sangre.
Muchos niños con un defecto cardiaco congénito presentan síntomas que llaman mucho la atención a los padres y cuidadores como:
La presencia de uno de estos síntomas o antecedentes amerita una revisión médica del niño por pediatría, y si el caso lo amerita, por el cardiólogo pediatra.
Muchos defectos cardiácos pueden manejarse exitosamente, el tratamiento depende de la parte afectada, algunos niños no necesitan tratamiento, mientras que otros requieren tratamiento médico, cateterismo cardiaco y/o cirugía cardiaca. Algunos defectos son tratados por pasos, otros se tratan posteriormente. Algunos defectos cardiacos congénitos no son curables, se puede vivir con ellos, teniendo un buen acompañamiento familiar, medico, nutricional y social.
Lo importante, es estar atentos a los signos y síntomas, para tener un diagnóstico temprano y darle al paciente el tratamiento necesario para mejorar su salud.
Artículo basado en:
https://www.argentina.gob.ar/salud/cardiopatiascongenitas
http://www.lacasadelnino.org/site/index.php/113-día-mundial-de-las-cardiopatías-congénitas.html
Para más información, a nivel regional, contamos con el Programa Provincial de Cardiopatía Congénita:
.............................
